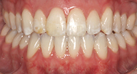
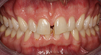
A transformed smile can be life-changing!
Check out some of the results of our patients before and afters.
What Our Patients are Saying
“Kujak Orthodontics provides excellent service in a friendly & caring environment. Who knew braces could be so fun?! The dashing smile at the end of this journey was beyond my expectations.”
-Kane“1 million stars! Each appointment was fun and felt like I was the only patient he was caring for that day. A personable & individualized approach that you won’t find anywhere else.”
-Jamie“The employees are really nice and you’ll like your teeth afterwards, even more than you did when you walked in.”
-Henley“The staff have always been very accommodating! When we have a popped wire or need to be seen quickly they squeeze us in!”
-Jenny“Dr. Dave’s positivity really stood out to me. At the start of my journey with braces, I thought there was no way anything could fix my concerns. But I trusted him and he really lived up to his word. My smile looks fantastic!”
-Lindsey“Walking into Kujak Orthodontics, it’s nice to be greeted by friendly, smiling staff. The environment there feels positive and inviting, a nice place to be. As a mom of a child who is very apprehensive about medical clinics in general, this has helped eliminate any fear of having work done on her teeth.”
-Desi“When our first child began with orthodontic care, he was only 7 years old. We were looking for someone who worked well with younger children. We came in to do a consultation, and we had a clear path of what his treatment would look like. It has been very personalized to each one of us and our unique situations. We enjoyed the “extras” the clinic provides.”
-Kim


























